Galeri

Medya Merkezi

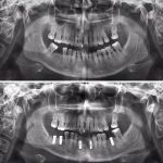
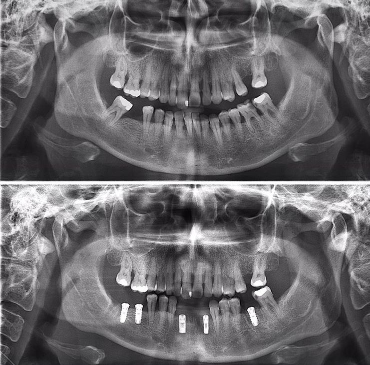
Tedavi Görselleri

“Gülüş estetiği ve diş tedavilerinde kullanılan teknolojik yöntemler ve sonuçlarına dair görselleri inceleyin. Tedavi görselleri, başarılı sonuçları ve tedavi süreçlerini daha yakından görmenize yardımcı olur. Uzmanlarımızın özenle gerçekleştirdiği tedavileri keşfedin ve istediğiniz gülümsemeye bir adım daha yaklaşın.”

Tansel Hamza
Diş Estetiği ve İmplant (Bölüm 1)

Tansel Hamza
Diş Estetiği ve İmplant (Bölüm 2)

Tansel Hamza
Diş Estetiği ve İmplant (Bölüm 3)

Tansel Hamza
Diş Estetiği ve İmplant (Bölüm 4)

Randevu Oluşturmak İster misiniz?

Daha fazla bilgi almak ve tedavinizi gerçekleştirmek için şimdi ücretsiz bir randevu oluşturun.